首页
新闻资讯
手术辅助规划
重建模型
关于我们
首页
新闻资讯
手术辅助规划
重建模型
关于我们
材料说明及数据处理
树脂打印
金属打印
手术模拟
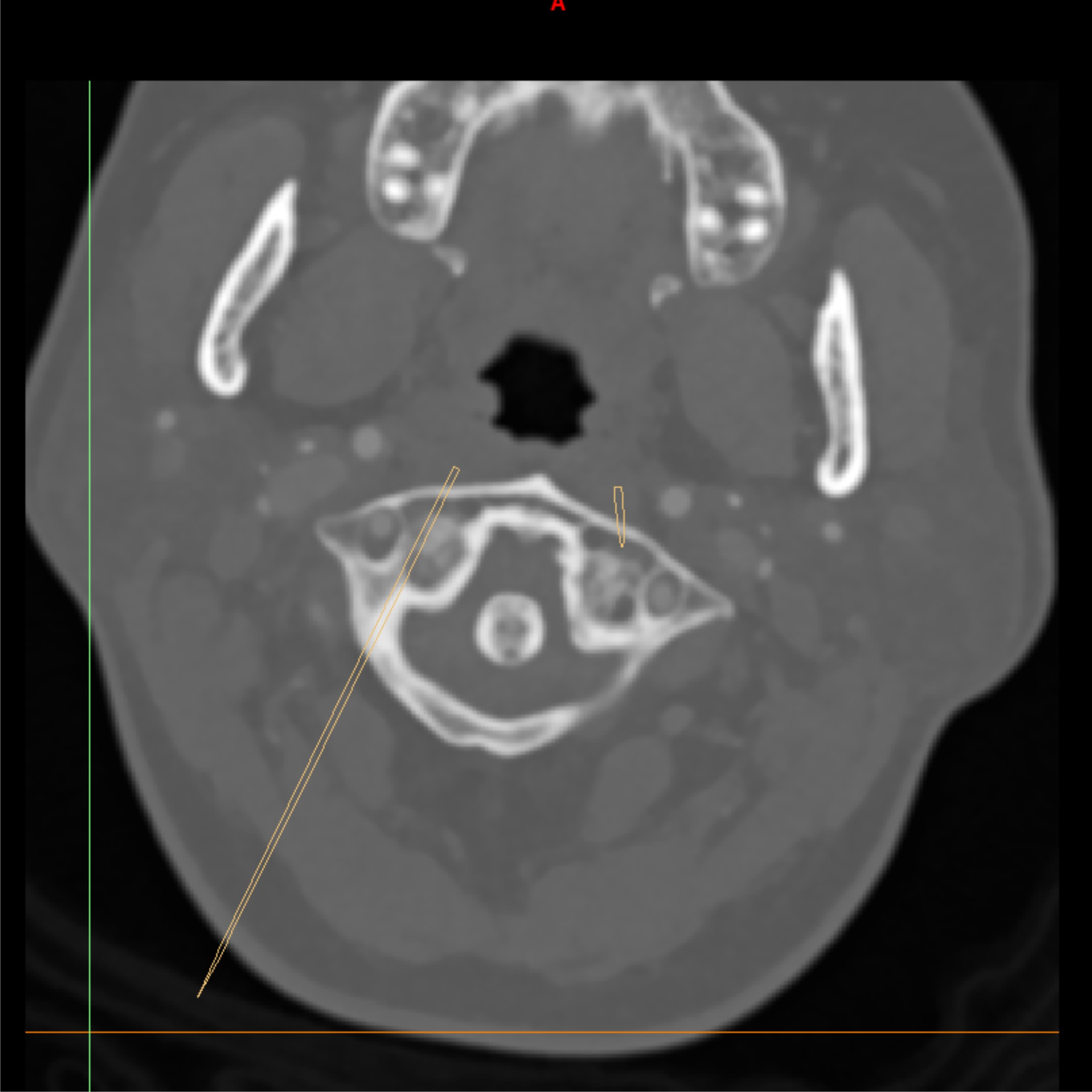
定制化导航板设计
精准定位、导向
术前规划
采集患者CT/MRI数据